Das durch die Nebenschilddrüsen gebildete Parathormon ist am Calcium-Haushalt zentral beteiligt.
Eine relevante Parathormonüberproduktion ohne gleichzeitigen Vitamin D-Mangel (primärer Hyperparathyreoidismus, pHPT) führt zu einem erhöhten Serumcalcium mit typischen Komplikationen wie Nierensteinen, Magengeschwüren, Bauchspeicheldrüsenentzündung oder trauriger Stimmungslage. Die Entfernung des ursächlichen Nebenschilddrüsenadenoms führt rasch zu weitgehender Beschwerdefreiheit (sofern noch keine bleibenden Schäden eingetreten sind).
Ein Parathormonmangel (Hypoparathyreoidismus) tritt insbesondere nach Schilddrüsenoperationen auf, wenn versehentlich mehr als zwei Nebenschilddrüsen mit entfernt wurden. In diesen Fällen muss dann lebenslang Calcium und Vitamin D eingenommen werden, um zumindest einen Serumcalcium-Spiegel an der unteren Normgrenze zu erreichen und so Organverkalkungen zu vermeiden.
Die in der Regel vier Nebenschilddrüsen sind jeweils am oberen und unteren Hinterrand beider Schilddrüsenlappen lokalisiert. Seltener sind Nebenschilddrüsen ektop gelegen, also an anderer Stelle, z.B. im Brustkorb.
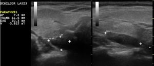
Während gesunde Nebenschilddrüsen aufgrund ihres gleichen Schallmusters wie die Schilddrüse normalerweise sonographisch nicht abzugrenzen sind, können die immer gutartigen Nebenschilddrüsenadenome per Ultraschall häufig erkannt werden.
Spezialisierte Chirurgen sind in der Lage, über einen ca. 2 cm großen Schnitt Nebenschilddrüsenadenome innerhalb weniger Minuten (in Narkose) zu entfernen. Hierfür ist allerdings erforderlich, zuvor die Lokalisation mit einer Nebenschilddrüsen-Szintigraphie abzusichern. Dafür wird in der Regel Tc-99m-markiertes MIBI injiziert, das sich in den meisten Nebenschilddrüsenadenomen anreichert. Mit dieser Methode können auch ektop gelegene Nebenschilddrüsenadenome gefunden werden.
Mehr über LifeLink
Finden Sie jetzt die
Praxis in Ihrer Nähe!
Wir sind überzeugt, dass die Medizin von morgen anders aussehen sollte. Wir sehen den Menschen im Mittelpunkt exzellenter Medizin.

