Zunächst beginnt jede Schilddrüsendiagnostik mit der Erhebung der Krankheitsgeschichte (Anamnese) und einer klinischen Untersuchung einschließlich Abtasten der Schilddrüse (Palpation).
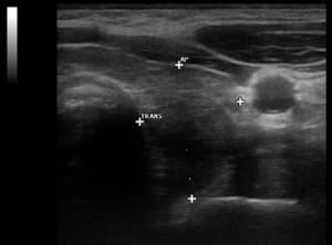
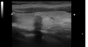
U.a. weisen Gewichtsveränderungen, Zyklusunregelmäßigkeiten und emotionale Instabilität auf Schilddrüsenfunktionsstörungen hin. Derbe Veränderungen in der Schilddrüse hingegen sind verdächtiger als weiche. Zu jeder Schilddrüsenuntersuchung gehört auch der Ultraschall von Schilddrüse und Halsweichteilen (Schilddrüsensonographie). Hierdurch lassen sich Größe und evtl. Veränderungen erkennen sowie relevante Strukturen in der vorderen Halsregion mit beurteilen, insbesondere Nebenschilddrüsen und Lymphknoten. Anhand des Schallmusters und des Durchblutungsmusters (Perfusion) lassen sich häufig bereits Krankheitsbilder festmachen.
So findet sich bei einer Autoimmunhyperthyreose (M. Basedow), einer zumeist schweren Form einer Schilddrüsenüberfunktion, eine ausgeprägte Echoarmut in Verbindung mit einer stark vermehrten Durchblutung des Schilddrüsengewebes. Von den Knoten verdienen solche mit Mikroverkalkungen und einer vermehrten Binnenperfusion verstärkte Aufmerksamkeit.
Schilddrüsenszintigraphie
Mit Schilddrüsenszintigraphie wird die Anfertigung eines Funktionsabbilds der Schilddrüse bezeichnet. Hierzu wird schwach radioaktives Technetium-99m in den Arm injiziert und wenige Minuten später mittels einer Gammakamera das von der in die Schilddrüse eingebaute Technetium-99m im Hinblick auf Menge und Verteilungsmuster aufgezeichnet. So lassen sich funktionslose, sog. „kalte“ Knoten von sog. „heißen“ Knoten unterscheiden, also immer gutartigen Befunden mit ungehemmter Schilddrüsenhormonproduktion, die abhängig von ihrer Größe zu einer Überfunktion führen können. Auch können so Schilddrüsenüberfunktionen hinsichtlich ihrer Ursachen und Kröpfe (Strumen) im Hinblick auf ihre Behandelbarkeit mittels Radiojod abgeklärt werden.
Kalte Knoten sind insbesondere bei auffälligem Tastbefund und Schallmuster hinsichtlich ihrer Dignität weiter abzuklären. Hierzu kann – ggf. auch Ultraschall-kontrolliert – der Befund punktiert werden (Schilddrüsenpunktion, Feinnadelpunktion). Ebenso können schmerzhafte Einblutungen in die Schilddrüse mittels einer Punktion entlastet und so fast unmittelbar Beschwerdefreiheit erreicht werden.
Schilddrüsenlabor
Schließlich gehört zu jeder Schilddrüsenuntersuchung die laborchemische Bestimmung der Schilddrüsenfunktionslage über die Untersuchung von TSH und freien Schilddrüsenhormonen (fT3, fT4), ferner bei fraglichen Autoimmunerkrankungen die Bestimmung von Schilddrüsenantikörpern (TPO-Ak, Tg-Ak, TRAK) und bei knotigen Veränderungen die Untersuchung von Schilddrüsentumormarkern (Calcitonin, Thyreoglobulin).
Mehr über LifeLink
Finden Sie jetzt die
Praxis in Ihrer Nähe!
Wir sind überzeugt, dass die Medizin von morgen anders aussehen sollte. Wir sehen den Menschen im Mittelpunkt exzellenter Medizin.

